COMMON PROBLEMS SEEN
Orthodontic problems can affect anyone – in fact, our teeth are almost never naturally perfect. Malocclusion, or a “bad bite”, can cause problems with chewing, oral hygiene, speaking and aesthetics. A bad bite can be genetic, or can be caused by thumb sucking, dental disease, poor dental hygiene, accidents, birth defects or other medical conditions.
Being educated about the orthodontic problem you or your child may have is the first step to correcting it. Orthodontic treatment performed by Dr. Long can improve both the functionality of your bite and the appearance of your smile.
Below are some examples of the most common orthodontic problems.
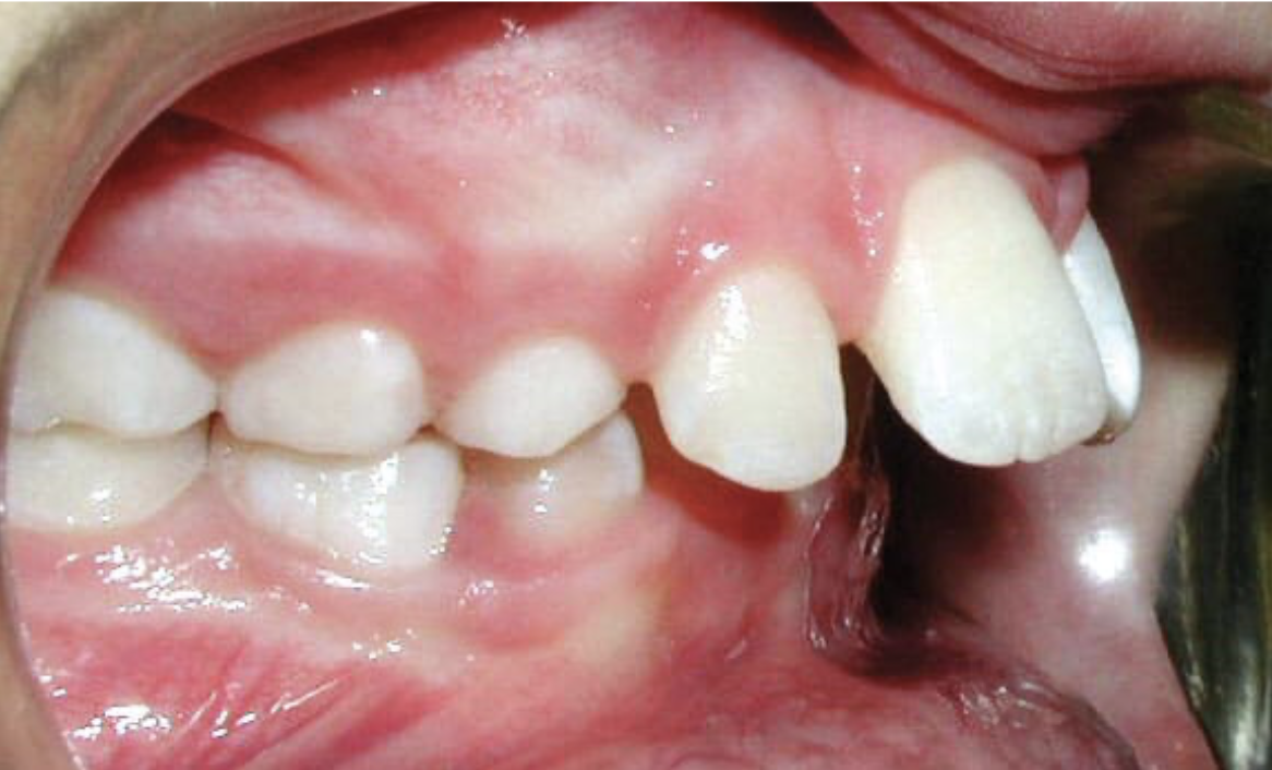
Upper Front Teeth Protrusion
-
The appearance and function of your teeth are impacted by this type of bite. It is characterized by the upper teeth extending too far forward or the lower teeth not extending far enough forward.
Openbite
-
Proper chewing is impacted by this type of bite, in which the upper and lower front teeth do not overlap. Openbite may cause a number of unwanted habits, such as tongue thrusting.
Underbite
-
In an underbite, the lower jaw extends out, causing the lower front teeth to sit in the front of the upper front teeth.
Anterior Crossbite
-
The upper front teeth extend out over the lower front teeth, sometimes causing the lower front teeth to bite into the roof of the mouth.
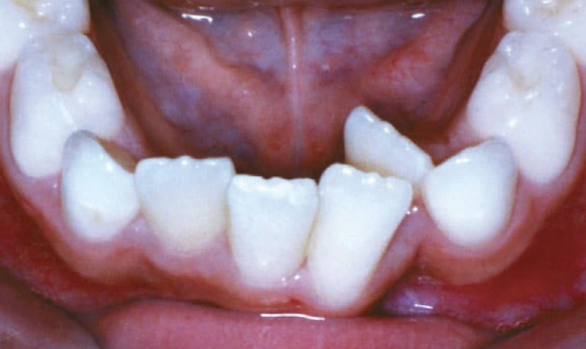
Crowding
-
Crowding occurs when teeth have insufficient room to erupt from the gum. Crowding can often be corrected by expansion, and many times, tooth removal can be avoided.
Thumb/Tongue-Habit
-
When someone has a habit of putting objects in their mouth or pushing their tongue forward, it can affect their bite and cause the front teeth to shift out of place.
Posterior Crossbite
-
The upper teeth sit inside the lower teeth, which may cause tooth stratification and misaligned jaw growth.
Deep Bite
-
A deep bite can lead to excessive wear on the teeth, jaw discomfort, headaches, gum irritation, and damage to the supporting bone over time. It may also cause tooth chipping, increased sensitivity, and can make proper chewing and oral hygiene more difficult if left untreated.
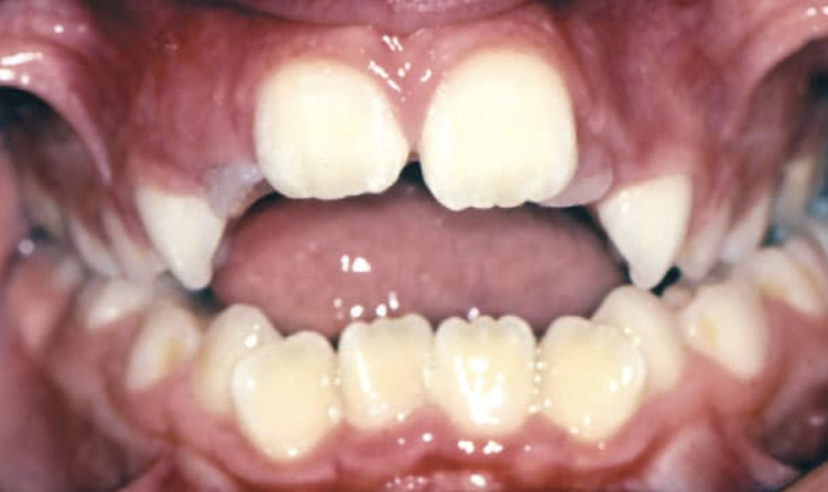
Missing Teeth
-
If your dentist says you are missing a tooth, it can affect how the rest of your teeth fit and function. Sometimes the ‘missing’ tooth is actually stuck in the gums, which can also cause problems for the teeth around it.

